可降解蠶絲螺釘 開啟人體內固定新時代
史俊斌

受訪者供圖

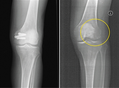
左為使用金屬螺釘后拍攝的影像,右為使用蠶絲螺釘后拍攝的影像。受訪者供圖
可降解蠶絲螺釘能夠利用其在人體環境中發生酶解的特性,實現人體功能修復的同時逐漸降解,并最終不在體內殘留,進而避免了二次手術取出的麻煩。該螺釘是世界上首款實現人體內應用的可降解醫用蠶絲骨釘,標志著人體內固定領域開啟了蠶絲應用的新時代。
堅硬的金屬材料一直是骨折后內固定手術的首選,但患者傷口愈合后取出金屬內固定,往往需要進行二次手術。
不久前,由空軍軍醫大學西京醫院雷偉教授、馮亞非副教授團隊和中國科學院上海微系統所陶虎研究員團隊共同開發的可降解蠶絲螺釘,能夠利用其在人體環境中發生酶解的特性,實現人體功能修復的同時逐漸降解,并最終不在體內殘留,進而避免了二次手術取出的麻煩。該螺釘是世界上首款實現人體內應用的可降解醫用蠶絲骨釘,標志著人體內固定領域開啟了蠶絲應用的新時代。
立足臨床需求 研發內固定新材料
在長期的臨床應用過程中,金屬材料逐漸顯現出三大缺陷:一是金屬內固定往往需要二次手術取出,大大增加了患者的痛苦及經濟負擔。二是金屬的力學強度遠遠超過骨骼,導致應力遮擋,影響骨折愈合。此外,使用部分金屬材料術后無法進行CT和磁共振拍攝;即使鈦合金材料可以進行檢查,也存在明顯的偽影,螺釘周邊模糊一團,嚴重影響影像觀察的效果。
如何消除應力遮擋,研發與骨骼力學匹配性更適宜的材料?如何實現材料在人體內的安全降解,遠離二次手術帶來的傷害?又如何避免金屬材料偽影,讓患者不再為術后影像檢查擔憂不已?這些都是擺在醫學家和科學家面前的重大課題。
針對目前金屬材料的缺點,科學家與醫學家進行了無數嘗試,研制出了金屬鎂、無機羥基磷灰石和合成有機聚乳酸(PLA)等材料的可吸收螺釘。專家介紹,目前臨床已經應用的“聚乳酸可吸收螺釘”由聚乳酸材料加工而成,屬于合成有機材料。聚乳酸通常在植入體內12—18個月后降解為乳酸,再進一步分解成水和二氧化碳,無須二次手術取出,有效緩解了患者的痛苦和經濟壓力。而鎂合金作為體內降解的金屬材料,具有良好的力學強度和生物相容性,用其制造的內固定產品也已經進入臨床試驗階段。但有報道稱目前的可吸收螺釘仍存在降解速度過快、螺釘周邊易發生遲發型炎癥反應、降解部位無法實現骨替代長入等問題,限制了可降解材料在臨床上的推廣。
隨著材料科學技術的不斷發展,可吸收內固定材料不斷完善,作為天然有機材料的蠶絲越來越受到科學家們的關注,而蠶絲蛋白材料也被科學家們視為最有希望的生物材料之一。
專注技術攻關 實現蠶絲化繭成“鋼”
中國是最早養蠶繅絲的國家,孕育了輝煌的蠶絲文明。現如今,蠶絲在醫療領域同樣展現出巨大潛能。那么,具有良好生物特性的柔軟蠶絲,能否用作堅強的骨科內固定呢?雷偉團隊聯合陶虎團隊,歷經多年技術攻關,成功突破了蠶絲臨床應用的技術壁壘,研發出可降解蠶絲螺釘。
美國食品藥品監督管理局(FDA)和我國食品藥品監督管理總局(CFDA)先后批準蠶絲及其提取的蛋白可用于生產創傷輔料;美國環保組織環境工作組(EWG)將蠶絲評為最優級綠色原料和產品。蠶絲更被證明是生物毒性極低、免疫原性極小的優良醫用材料。
既往觀點認為,可吸收螺釘的機械性能弱是限制其應用的主要原因。因此,如何讓蠶絲由“柔軟”變“堅硬”是首先要解決的難題。陶虎介紹,可降解蠶絲螺釘是從溶解后的蠶絲中提取蠶絲蛋白作為原始材料,通過一系列生物制造技術制成的,這是一種區別于蠶絲紡織品的新科技材料,其制作工藝采用的也是一種新技術路線。其中,蠶絲蛋白的分子量和結晶水平是影響骨釘力學性能和降解特性的核心因素。經過無數次試驗的失敗和堅持不懈的調試,科研人員終于實現了硬度與降解性的平衡,達到了體內螺釘固定的要求。
當可降解蠶絲螺釘植入人體后,又需要它適時由“有形”變“無蹤”。馮亞非介紹,螺釘植入體內初期降解速度極為緩慢,以保證骨折堅強固定的需求;植入1年后螺釘逐漸酶解,降解產物為氨基酸和多肽,可完全被人體吸收,沒有任何毒副作用。臨床前研究證實,可降解蠶絲螺釘在人體內3年的降解率超過80%。研究表明,該螺釘性能合理,降解時間與彈性模量設計合理,可有效減少并發癥的發生。
應用前景廣闊 未來將惠及更多患者
今年5月,患者張強(化名)不慎扭傷,造成左股骨遠端骨折。由于骨折部位靠近關節面,使用金屬螺釘固定時應力過大,會影響骨折愈合;1年后還需要手術將金屬螺釘取出,可能造成二次創傷。患者入院之后,團隊經過詳細探討病情、細致閱片后認為,該患者符合可降解蠶絲螺釘固定的適應證。術中團隊對該患者使用可降解蠶絲螺釘固定骨折塊,術后的CT片中沒有任何偽影,可以清晰地看到骨折塊已經完全復位,并且解除了患者二次手術取出螺釘的負擔和困擾。
據悉,這已經是第5例在西京醫院使用可降解蠶絲螺釘的患者了。早在今年3月,一名髖臼及股骨頭骨折的患者就在西京醫院骨科接受了蠶絲螺釘固定手術,成功實現了世界首例可降解蠶絲螺釘的人體內應用。患者術后3個月復查時,已可以下地行走,無需借助護具保護。術后復查顯示,骨折已完全愈合,螺釘植入部位未發現明顯的免疫排斥反應,體現出良好的生物相容性。
技術查新顯示,國際尚無蠶絲蛋白材料在人體骨科應用的臨床實例。該項目現已正式通過西京醫院學術委員會和科研倫理委員會審批,進入臨床試驗階段。
“可降解蠶絲材料的研發和臨床應用,解決了金屬內固定的三大缺陷。”在雷偉看來,蠶絲材料所展現出的優良力學性能、生物學性能和降解性能,必將為骨科植入物市場帶來新的解決方案和發展動力。未來或將拓展應用于脊柱外科、神經外科、口腔醫學等諸多領域,惠及更多患者。
人民健康APP
人民好醫生APP
熱門點擊排行榜
聯系我們
|
人民健康網微信
微信號:rmwjkpd 公眾號:人民網健康 |
人民健康網微博
微博昵稱: 人民網健康衛生頻道 |
|
電話:010-65367951 郵箱:health@people.cn | |



